Με τον όρο περιοδόντιο, δηλαδή γύρω από το δόντι, εννοούμε τους ιστούς που περιβάλουν και στηρίζουν το δόντι στη γνάθο, δηλαδή τα ούλα, το περιρρίζιο, το οστούν των φατνίων και την οστεϊνη του δοντιού.
Οι κύριες μορφές της περιοδοντικής νόσου είναι βακτηριακές λοιμώξεις που προσβάλουν το περιοδόντιο και βαθμιαία οδηγούν στην καταστροφή των στηρικτικών ιστών του δοντιού.
Κύρια αιτία της περιοδοντικής νόσου είναι η μικροβιακή πλάκα, δηλαδή μια κολλώδης λευκή ουσία που συνεχώς συγκεντρώνεται επάνω στα δόντια και αποτελείται από μικρόβια που υπάρχουν στο στόμα. Με την καθημερινή ατομική στοματική υγιεινή, χρησιμοποιώντας οδοντόβουρτσα και οδοντικό νήμα, απομακρύνεται η οδοντική πλάκα και αποφεύγεται η συσσώρευσή της στα δόντια.
Σε αντίθετη περίπτωση, όταν η οδοντική πλάκα παραμένει, αυξάνεται και με την προσρόφηση αλάτων από το σάλιο, μετατρέπεται σταδιακά σε τρυγία, μια ουσία ιδιαίτερα σκληρή, η αφαίρεση της οποίας μπορεί να γίνει μόνο από τον οδοντίατρο. Αν η τρυγία παραμείνει, επεκτείνεται σε βάθος κάτω από τα ούλα δημιουργώντας υποουλική τρυγία (πέτρα). Αυτό έχει ως αποτέλεσμα τη συσσώρευση ακόμα περισσότερης οδοντικής πλάκας στην επιφάνειά της, αυξάνοτας την πιθανότητα περιοδοντικής καταστροφής.
Οι τοξικές ουσίες που παράγονται απο τα μικρόβια της οδοντικής πλάκας είναι ερεθιστικές για τα ούλα, αρχικά δημιουργούν φλεγμονή, ενώ μπορούν βαθμιαία να οδηγήσουν και σε καταστροφή των περιοδοντικών ιστών.
Σταδιακά τα ούλα αποκολλώνται από τις οδοντικές επιφάνειες, σχηματίζοντας περιοδοντικούς θυλάκους, στους οποίους συσσωρεύεται ακόμα περισσότερη οδοντική πλάκα, προκαλώντας μεγαλύτερη φλεγμονή. Με την εξέλιξη της νόσου, το βάθος των θυλάκων αυξάνει, επιδεινώνεται η καταστροφή των στηρικτικών ιστών, αυξάνεται η κινητικότητα των δοντιών, με τελική κατάληξη την απώλειά τους.
Η περιοδοντική νόσος μπορεί να προσβάλει κάθε άτομο ασχέτως φύλου, ηλικίας και γενικής κατάστασης υγείας. Ακόμα μπορεί να προσβάλει ένα ή περισσότερα ή και όλα τα δόντια στον φραγμό. Με την πάροδο της ηλικίας η συχνότητα προσβολής αυξάνει, έτσι ώστε τελικά ένα μεγάλο ποσοστό ατόμων να πάσχουν από τη νόσο σε κάποια χρονική στιγμή της ζωής τους. Στην εποχή μας η περιοδοντική νόσος αποτελεί στους ενήλικες την κύρια αιτία απώλειας των δοντιών. Εάν όμως διαγνωσθεί έγκαιρα η νόσος θεραπεύεται.
Οι πλέον συχνές μορφές περιοδοντικής νόσου είναι η Ουλίτιδα και η Περιοδοντίτιδα.
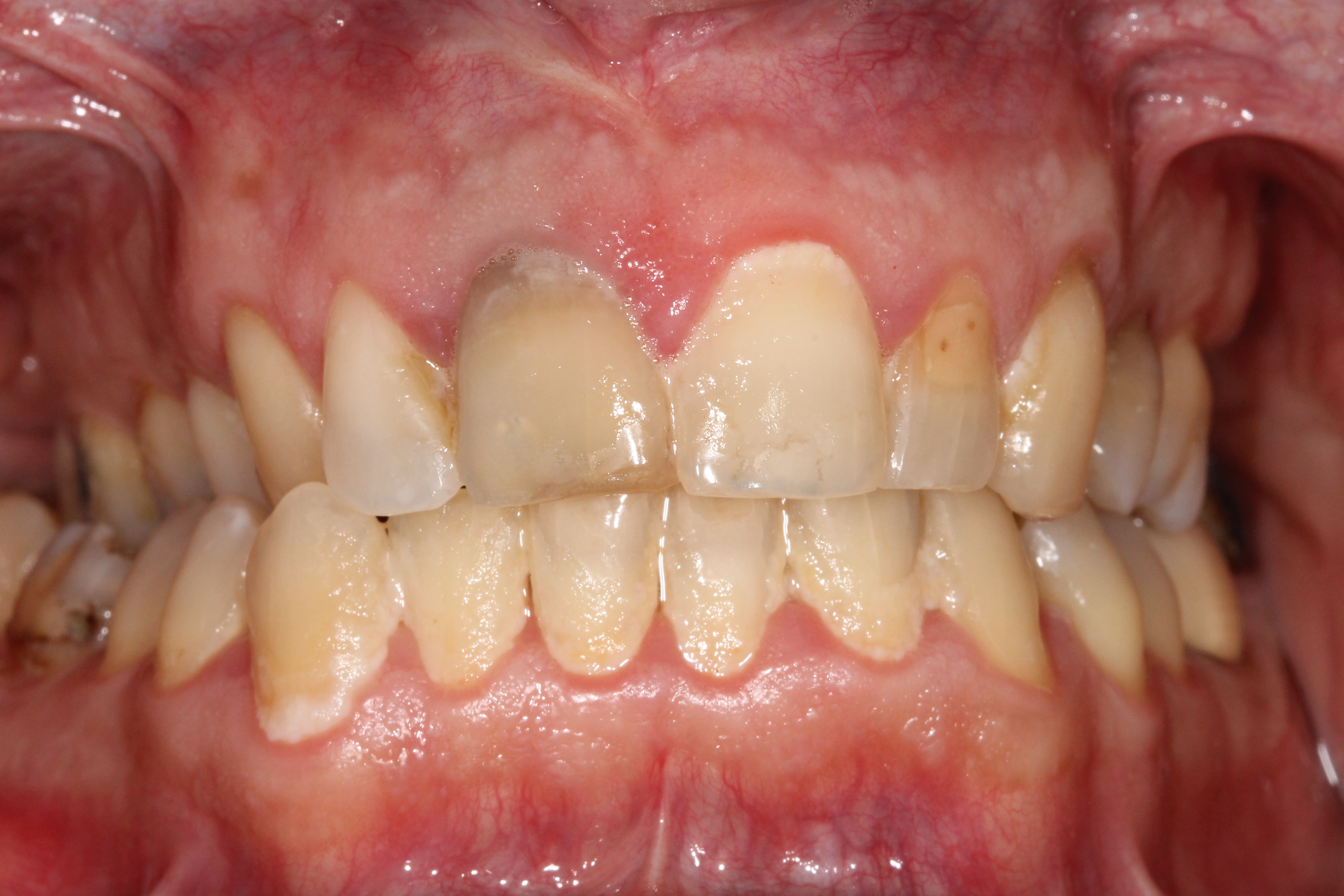
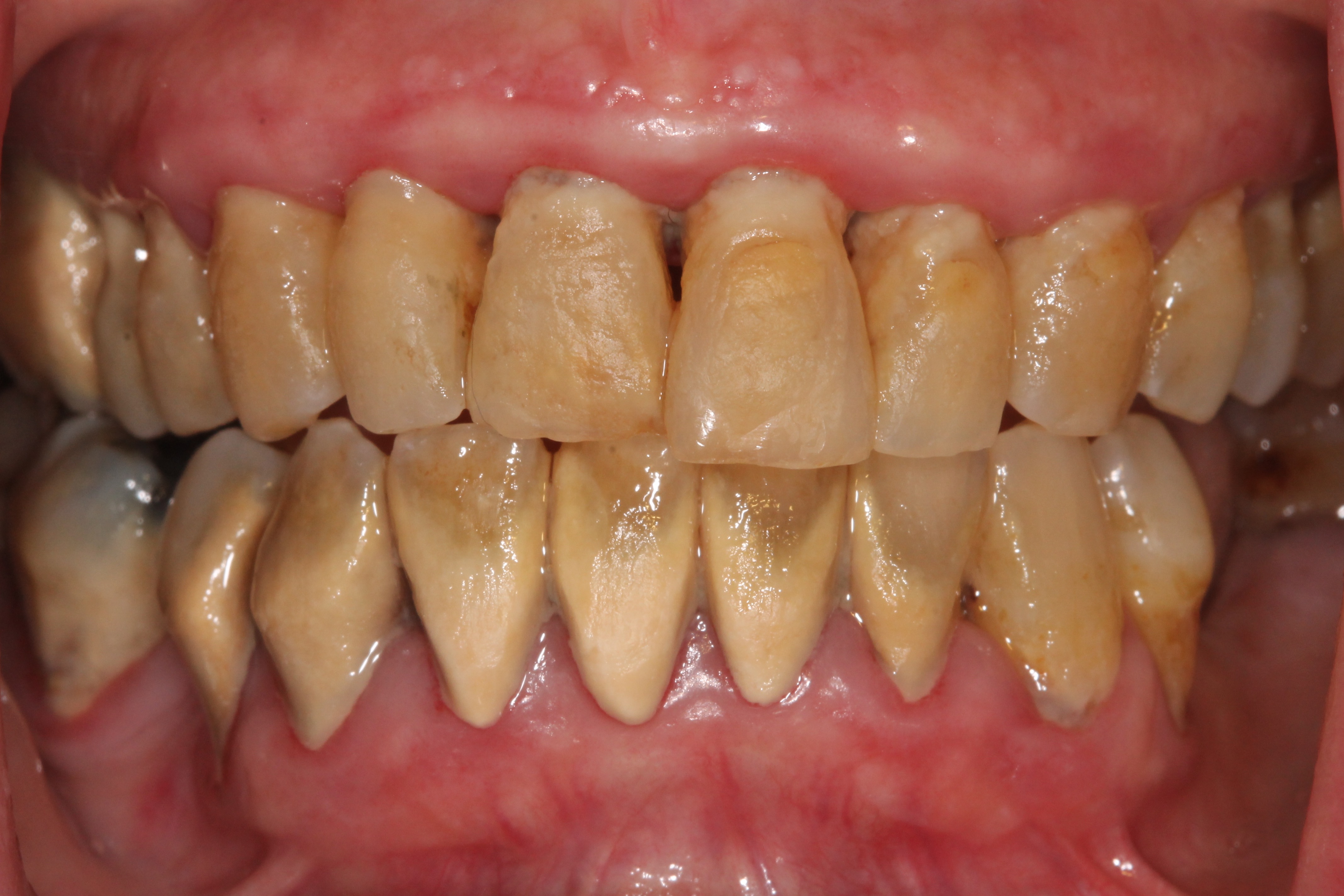
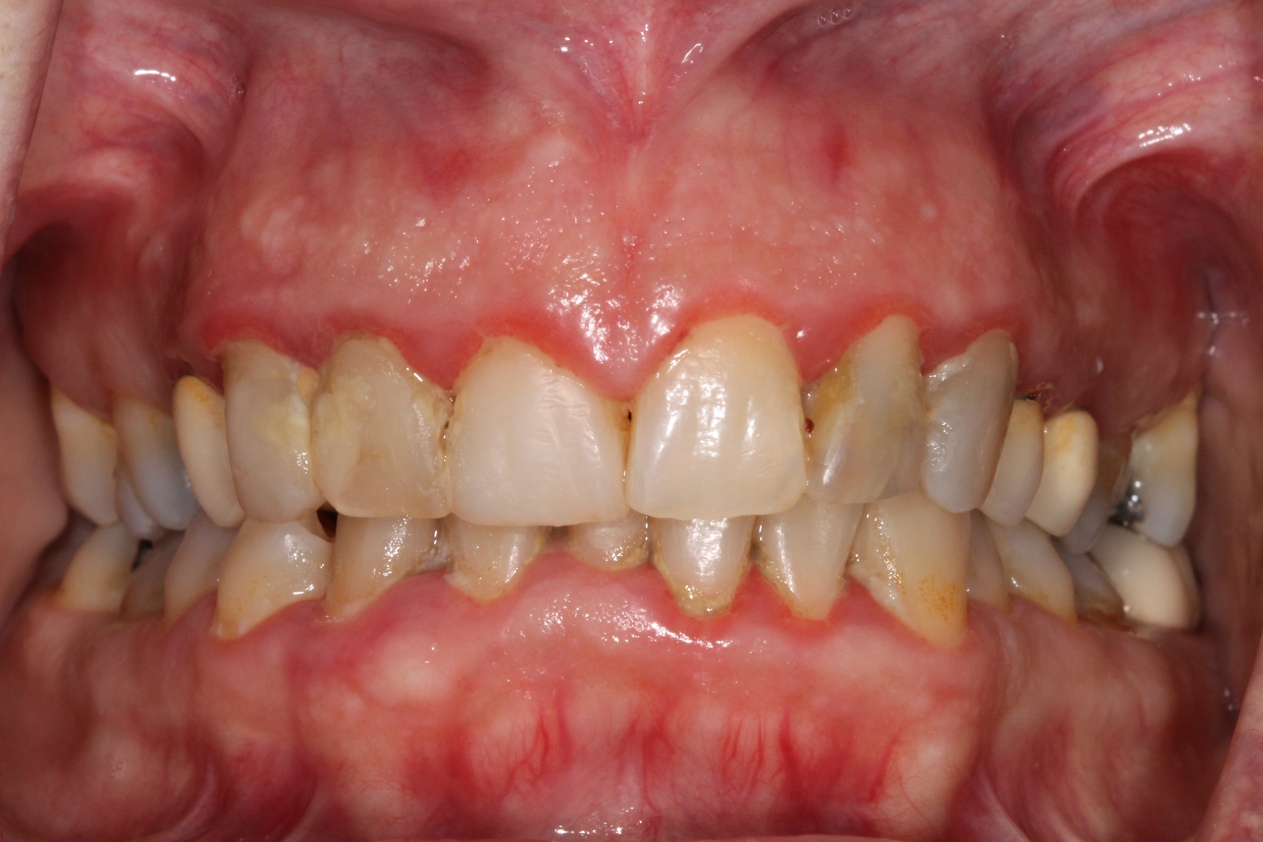
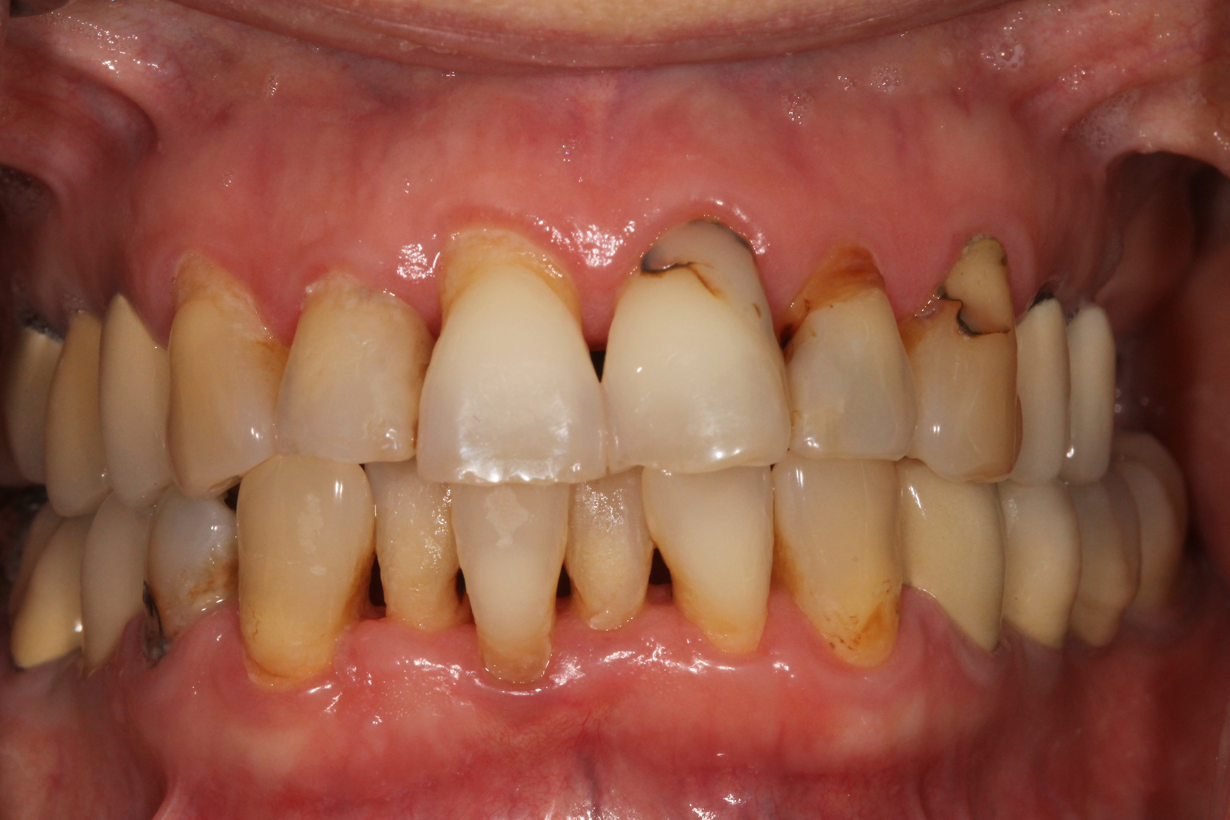
ΕΝΔΕΙΚΤΙΚΑ ΠΕΡΙΣΤΑΤΙΚΑ ΤΗΣ ΝΟΣΟΥ

αρχικό στάδιο

προχωρημένο στάδιο
Ουλίτιδα

Η ουλίτιδα είναι η φλεγμονή μόνο των ούλων και αποτελεί την αρχική μορφή της περιοδοντικής νόσου.
Στην ουλίτιδα, μετά τη θεραπεία, οι περιοδοντικοί ιστοί επανέρχονται στην αρχική φυσιολογική τους μορφή (αντιστρεπτή βλάβη). Εάν όμως δεν θεραπευτεί, στις περισσότερες περιπτώσεις η ουλίτιδα, και σε χρόνο που δεν γνωρίζουμε και δεν μπορούμε να προβλέψουμε, εξελίσσεται σε περιοδοντίτιδα.
Περιοδοντίτιδα

Στην περιοδοντίτιδα η φλεγμονή από επιφανειακή που ήταν στην ουλίτιδα, επεκτείνεται βαθύτερα, προκαλεί αποκόλληση των ούλων από το δόντι, βάθυνση της ουλοδοντικής σχισμής, δημιουργία περιοδοντικών θυλάκων και σταδιακή καταστροφή του οστού που στηρίζει το δόντι.
Η σημαντική διαφορά μεταξύ ουλίτιδας και περιοδοντίτιδας είναι ότι στην περιοδοντίτιδα υπάρχει μόνιμη οστική καταστροφή, η οποία ποικίλει ανάλογα με την βαρύτητά της. Εάν η περιοδοντίτιδα δεν θεραπευθεί έγκαιρα ή εάν μετά τη θεραπεία παραμεληθεί η στοματική υγιεινή από τον ασθενή, η οστική καταστροφή επιδεινώνεται, το δόντι κινείται, είναι πιθανό να αλλάξει θέση, σταδιακά χάνει τη λειτουργικότητά του και συχνά καταλήγει σε εξαγωγή.
Η περιοδοντική νόσος εκδηλώνεται με διάφορα συμπτώματα και σε διάφορες μορφές.
Απευθυνθείτε στον Οδοντίατρό σας ή στον Περιοδοντόλογο αν αντιληφθείτε κάποιο από τα εξής:
-
Αιμορραγία των ούλων στο βούρτσισμα ή από μόνα τους. Η αιμορραγία των ούλων δεν είναι φυσιολογική κατάσταση, αλλά παθολογικό εύρημα.
-
Κόκκινα, πρησμένα ή ευαίσθητα ούλα.
-
Ούλα που έχουν αποκολληθεί από το δόντι.
-
Ούλα που έχουν υποχωρήσει.
-
Επίμονη κακοσμία (όχι πάντα).
-
Πύον ανάμεσα στο δόντι και στα ούλα.
-
Κινητικότητα των δοντιών.
-
Αλλαγή στη θέση και σχέση των δοντιών μεταξύ τους.
Τα συμπτώματα αυτά δεν συνυπάρχουν απαραίτητα στον ίδιο ασθενή, και συχνά η έντασή τους δεν συμβαδίζει πάντοτε με τη βαρύτητα της νόσου. Η περιοδοντική νόσος έχει συνήθως μια χρόνια πορεία, ενώ μερικές φορές περνά απαρατήρητη. Τις περισσότερες φορές η διάγνωση γίνεται όταν η νόσος έχει εξελιχθεί αρκετά και έχει προκαλέσει ανεπανόρθωτη βλάβη.
Είναι απαραίτητος λοιπόν ο τακτικός περιοδοντικός έλεγχος από τον Περιοδοντόλογο με σκοπό την έγκαιρη διάγνωση και θεραπεία των περιοδοντικών προβλημάτων.
